Терапия стволовыми клетками, являясь основой регенеративной медицины, предлагает инновационные решения для лечения трудноизлечимых заболеваний посредством разнообразных методов введения: внутривенного инфузирования, локальных инъекций (например, в суставные полости, половой член, маточную полость, пульпозное ядро), артериальных интервенций, люмбальной пункции, стереотаксической нейрохирургии или точного доставки под контролем КТ. Используя механизмы дифференцировки клеток, секреции биологически активных факторов и модуляции иммунной микроокружения, стволовые клетки восстанавливают поврежденные ткани и функции органов. Эта терапия демонстрирует впечатляющую эффективность при лечении:
- Неврологических заболеваний: детский церебральный паралич, травмы спинного мозга, травматические повреждения головного мозга, болезнь Паркинсона.
- Заболеваний репродуктивной системы: внутриутробные спайки, эректильная дисфункция (ЭД).
- Опорно-двигательного аппарата: остеоартроз.
- Метаболических нарушений: сахарный диабет.
- Онкологических заболеваний: вспомогательное лечение при раке.
Наши специалисты по терапии стволовыми клетками разрабатывают индивидуальные хирургические протоколы с учётом уникального состояния пациента, физиологического статуса и генетического профиля. Каждый план лечения проходит строгую индивидуализированную оценку для обеспечения точности, безопасности и эффективности, строго соблюдая медицинские стандарты.
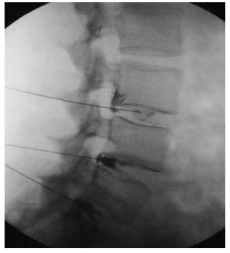
Трансплантация стволовых клеток через люмбальную пункцию — это минимально инвазивная процедура, выполняемая под местной анестезией, обычно завершаетcя в течение 15 минут. Во время процедуры тонкая игла аккуратно вводится в спинномозговой канал между двумя поясничными позвонками — область, свободная от ткани спинного мозга, чтобы обеспечить минимальное анатомическое вмешательство. После извлечения небольшого количества спинномозговой жидкости (CSF) хирург вводит стволовые клетки непосредственно в субарахноидальное пространство. Естественная циркуляция CSF направляет стволовые клетки к спинному мозгу и головному мозгу, завершая полный цикл распределения примерно за шесть часов.
Преимущества трансплантации стволовых клеток через люмбальную пункцию:
1. Безопасно и минимально дискомфортно
Проводится под местной анестезией с незначительной травматичностью, минимальной болью и высокой безопасностью.
2. Точная доставка
Стволовые клетки доставляются напрямую в центральную нервную систему (ЦНС), максимизируя терапевтический эффект.
Этот инновационный метод открывает новые возможности для лечения неврологических заболеваний, таких как травмы спинного мозга, рассеянный склероз и нейродегенеративные болезни. Если у вас есть вопросы или вы хотите изучить эту передовую терапию, свяжитесь с нашей медицинской командой для получения профессиональных консультаций и индивидуального плана лечения, направленного на восстановление функций и укрепление нервного здоровья.
Внутривенная (IV) терапия стволовыми клетками — это простое и удобное лечение, при котором стволовые клетки вводятся в кровоток через питательный раствор. После введения стволовые клетки циркулируют по всему организму, под влиянием врожденного эффекта гоминга, направляясь к поврежденным тканям. В этих зонах они выделяют каскад биологически активных факторов — включая факторы роста и иммунные модуляторы — для перестройки клеточных структур, оптимизации микросреды органов и улучшения функционального восстановления.
Преимущества внутривенной терапии стволовыми клетками:
1. Неинвазивно и безболезненно
Требуется только стандартная внутривенная инъекция — без хирургического вмешательства, с минимальным дискомфортом и без периода восстановления.
2. Быстро и доступно
Процедура проводится за считанные минуты, идеально подходит пациентам, стремящимся к эффективной терапии.
3. Комплексная регенерация
Стволовые клетки достигают нескольких органов и тканей одновременно, обеспечивая восстановление всего организма.
Внутривенная терапия стволовыми клетками открывает новые горизонты в лечении аутоиммунных заболеваний, дегенеративных процессов и возрастного снижения функций. В сочетании с дополнительными методами лечения она усиливает синергетический эффект восстановления. Чтобы узнать больше или обсудить персонализированные варианты лечения, свяжитесь с нашей медицинской командой для получения профессиональной консультации, адаптированной к вашему уникальному пути к здоровью.
Интервенционная терапия — это минимально инвазивная процедура, выполняемая под местной анестезией, при которой концентрированные стволовые клетки доставляются непосредственно в целевые органы через сосудистый доступ для максимально точного и эффективного воздействия на клетки. Процедура обычно занимает около 90 минут. Широко применяется при лечении таких заболеваний, как цирроз печени, осложнения при диабете (диабетическая нефропатия, диабетическая стопа), травмы спинного мозга, окклюзия периферических сосудов, а также при злокачественных опухолях печени, желудка, легких, толстой кишки и яичников.
Ключевые преимущества интервенционной терапии:
1. Точное нацеливание, усиленная регенерация
Стволовые клетки доставляются с субмиллиметровой точностью к пораженным тканям (например, печени, поджелудочной железе, почкам) для восстановления их функций.
2. Многосистемная терапия, комплексные эффекты
Одновременно лечение нескольких органов — например, доставка стволовых клеток в сосуды поджелудочной железы, печени, ЖКТ и почек у пациентов с диабетом, при этом устраняя такие проблемы, как стеноз сосудов, для многогранного восстановления.
3. Минимальная инвазивность и быстрое восстановление
Низкий риск, практически безболезненно, с минимальным временем восстановления и высокой комплаентностью пациентов.
4. Комбинированные протоколы, синергетический эффект
Увеличение эффективности за счет сочетания с лекарственной перфузией или другими методами лечения, особенно актуально в онкологии.
Используйте интервенционную терапию, чтобы открыть новую главу вашего здоровья. Для консультаций или разработки персонализированного плана лечения свяжитесь с нашей медицинской командой. Мы стремимся создать индивидуальную стратегию, соответствующую вашим клиническим потребностям, позволяя восстановить жизненные силы и надежду.
Стереотаксическая терапия стволовыми клетками головного мозга — это современная нейрохирургическая методика, использующая передовые системы стереотаксической навигации для доставки стволовых клеток с высокой точностью в конкретные ядра и структуры мозга. Эта терапия предназначена для лечения неврологических состояний, таких как детский церебральный паралич, инсульт, травматические повреждения головного мозга, болезнь Паркинсона, болезнь Альцгеймера и высокие травмы шейного отдела спинного мозга, обеспечивая прямое взаимодействие клеток с поврежденной нервной тканью и активируя многофакторные регенеративные процессы.
Преимущества стереотаксической терапии стволовыми клетками:
1. Субмиллиметровая точность, целевая доставка
Современные стереотаксические системы позволяют картировать и точно нацеливать пораженные участки с микроуровневой точностью, обеспечивая доставку стволовых клеток к поврежденным нейронным сетям для максимального терапевтического эффекта.
2. Многомодальное восстановление, функциональное улучшение
Стволовые клетки модулируют иммунный ответ, питают нейроны, стимулируют ангиогенез и восстанавливают микросреду нейронов, способствуя ремонту клеток, аксонов и синаптических связей, восстанавливая нервную функцию.
3. Минимальная инвазивность и быстрое восстановление
По сравнению с традиционной нейрохирургией этот метод снижает травматизм, ускоряет реабилитацию, стабилизирует результаты и уменьшает послеоперационные осложнения, обеспечивая высокий уровень удовлетворенности пациентов.
Стереотаксическая терапия стволовыми клетками открывает новые горизонты в неврологической помощи, предлагая пациентам надежду через точность, безопасность и эффективность. Для консультации и разработки индивидуальной стратегии лечения, направленной на восстановление здоровья и жизненной энергии, свяжитесь с нашей медицинской командой.
Локальная инъекционная терапия использует передовое визуальное сопровождение (УЗИ, КТ, МРТ) для точного определения поврежденных тканей, после чего минимально инвазивно доставляет стволовые клетки или биологические препараты непосредственно в целевые органы. Этот подход задействует уникальные способности стволовых клеток к восстановлению повреждений, модуляции иммунного ответа и улучшению кровотока. Применение включает:
- Стереотаксическая терапия стволовыми клетками головного мозга при детском церебральном параличе, инсульте, травмах головного мозга и болезни Паркинсона;
- Локальные инъекции в яичники при нарушениях их функции;
- Инъекции в пещеристое тело для лечения эректильной дисфункции у мужчин;
- Внутримышечные инъекции при дегенеративных мышечных заболеваниях.
Преимущества локальной инъекционной терапии:
1. Субмиллиметровая точность
Навигация с визуализацией гарантирует доставку стволовых клеток точно в очаги поражения — суставные полости, миокард, нейронные сети — обеспечивая сверхточную терапию.
2. Высокая терапевтическая концентрация
Максимизация концентрации стволовых клеток в очагах повреждения ускоряет их дифференцировку и секрецию паракринных факторов, способствуя быстрому восстановлению тканей.
3. Минимальная инвазивность и быстрое восстановление
Процедура выполняется тонкими иглами под местной анестезией, минимизируя травму и время восстановления, обеспечивая комфорт пациента.
4. Универсальность применения
Эффективна при остеоартрите, инфаркте миокарда, неврологических повреждениях и других состояниях, с расширяющимся потенциалом в регенеративной медицине.
Локальные инъекции стволовых клеток переопределяют точную медицину, предлагая трансформационные решения для сложных заболеваний. По мере развития технологий этот подход обещает открыть новые горизонты в лечении. Для индивидуальных консультаций и планирования терапии обратитесь к нашей медицинской команде, чтобы узнать, как эта инновационная методика может восстановить функции и вернуть надежду.
Эректильная дисфункция (ЭД), широко распространенная проблема мужского здоровья, характеризуется постоянной или повторяющейся неспособностью достичь или поддерживать достаточную эрекцию для полноценной сексуальной активности. Наша терапия стволовыми клетками при ЭД предполагает точную интракавeрнозную инъекцию стволовых клеток под местной анестезией, с выбором точек введения, адаптированным к анатомическим и физиологическим особенностям конкретного пациента.
Преимущества интракавeрнозной терапии стволовыми клетками:
1. Минимальная инвазивность и безопасность
Выполняется под местной анестезией с минимальной травмой и подтвержденной безопасностью.
2. Долгосрочные регенеративные результаты
Стволовые клетки устраняют причины дисфункции, восстанавливая поврежденные сосудистые и нервные ткани, обеспечивая устойчивое улучшение функций.
3. Клинически значимое улучшение
Стимулирует ангиогенез, восстанавливает нервные сигналы и повышает твердость и выносливость эрекции.
С прогрессом регенеративной медицины терапия стволовыми клетками переопределяет подходы к лечению ЭД. Если эректильная дисфункция влияет на качество вашей жизни, обратитесь к нашим специалистам по урологии и регенеративной медицине. Мы разработаем индивидуальный протокол, чтобы помочь вам вернуть уверенность, жизненную силу и интимные возможности.
Внутриматочные спайки (IUA), также известные как синдром Ашермана, возникают в результате травмы матки (после беременности или вне беременности), повреждающей базальный слой эндометрия, что приводит к частичной или полной блокаде полости матки. Симптомы включают нерегулярные менструации, бесплодие и повторные выкидыши, обусловленные фиброзом эндометрия. В качестве передового подхода регенеративной медицины терапия стволовыми клетками теперь предлагает революционные возможности для восстановления здоровья матки и фертильности.
Принцип действия:
Стволовые клетки вводятся непосредственно в полость матки для:
- Восстановления и регенерации поврежденной ткани эндометрия;
-Снижения воспаления и фиброза с помощью противовоспалительного и антифибротического действия;
- Стимуляции ангиогенеза для восстановления кровеносных сосудов и улучшения кровоснабжения;
- Восстановления здоровой среды матки, улучшая шансы на беременность.
Преимущества терапии стволовыми клетками при IUA:
1. Без анестезии и минимальный дискомфорт
Процедура проводится без анестезии, исключая связанные риски. Мягкое вмешательство обеспечивает комфорт пациента.
2. Быстро и удобно
Короткие сеансы лечения (амбулаторно), идеально для занятых графиков — госпитализация не требуется.
3. Возможность повторного применения и клиническая эффективность
Индивидуально подобранные повторные инъекции оптимизируют результаты, значительно улучшая качество эндометрия и показатели беременности.
4. Высокий уровень безопасности
Низкий риск осложнений, подтвержденный строгими клиническими протоколами.
Терапия стволовыми клетками переосмысляет лечение IUA как безопасное, эффективное и ориентированное на пациента решение. Если внутриматочные спайки влияют на ваш путь к фертильности, обратитесь к нашей команде специалистов. Мы разработаем персонализированный план, чтобы вернуть репродуктивное здоровье и вновь зажечь надежду на зачатие.
Остеоартрит (OA), самая распространенная форма артрита, прогрессивно поражает суставы с возрастом — особенно у пожилых людей — вызывая боль, скованность, отечность, ограничение подвижности и деформацию суставов. Типичные симптомы включают крепитацию (скрежет в суставах), выпот и функциональные нарушения. Терапия стволовыми клетками при OA предполагает введение клеток непосредственно в поврежденный коленный сустав для стимуляции регенерации аутологичных хондроцитов и остеоцитов, снижения воспаления и восстановления хрящевой ткани.
Преимущества внутрисуставной терапии стволовыми клетками:
1. Высокий уровень безопасности
Стволовые клетки получаются из собственного организма пациента (аутологичные) или от тщательно проверенных доноров, обеспечивая биосовместимость и безопасность.
2. Минимальная инвазивность и возможность повторного применения
Локализованные инъекции минимизируют травматичность и период восстановления. Повторные процедуры можно адаптировать для усиления терапевтического эффекта.
3. Быстрое и продолжительное облегчение
Симптомы быстро уменьшаются после процедуры, а восстановление тканей происходит на длительный срок, воздействуя на причину заболевания.
С развитием регенеративной медицины терапия стволовыми клетками обещает революционизировать лечение остеоартрита. Если остеоартрит ограничивает вашу подвижность, обратитесь к нашим специалистам для индивидуального плана восстановления суставов, уменьшения боли и возвращения к активной жизни.
Внутридисковая терапия стволовыми клетками — это инновационный регенеративный метод, предлагающий безопасное и эффективное решение для дегенеративных заболеваний дисков, таких как грыжа поясничного и шейного отдела позвоночника. Путем введения стволовых клеток непосредственно в пульпозное ядро (желатиноподобное ядро межпозвоночных дисков) эта терапия стимулирует восстановление и регенерацию диска. Стволовые клетки выделяют противовоспалительные факторы, которые уменьшают воспаление в диске и окружающих тканях, улучшают снабжение питательными веществами, восстанавливают метаболизм диска, снимают боль, замедляют дальнейшую дегенерацию, а также повышают высоту, эластичность диска и подвижность позвоночника.
Преимущества внутридисковой терапии стволовыми клетками:
1. Минимальная инвазивность и высокая точность
Целенаправленная доставка с минимальной травматичностью, быстрым восстановлением и низким риском осложнений.
2. Долгосрочное восстановление структуры
Воздействует на причину заболевания, восстанавливая ткань диска и останавливая прогрессирование болезни.
Пациентам, рассматривающим эту терапию, рекомендуется пройти полное консультирование и диагностическую визуализацию (например, МРТ) для подтверждения показаний. Если дегенеративное заболевание дисков влияет на качество вашей жизни, обратитесь к нашей медицинской команде для экспертной оценки и индивидуального плана лечения, чтобы вернуть здоровье позвоночника и функциональную свободу.
Бронхоальвеолярный лаваж (BAL) — это малоинвазивная диагностическая и терапевтическая процедура, выполняемая с помощью бронхоскопии, широко используемая для диагностики заболеваний дыхательной системы и терапии стволовыми клетками. Чаще всего применяется при заболеваниях легких, таких как хроническая обструктивная болезнь легких (ХОБЛ), легочный фиброз, острый респираторный дистресс-синдром (ОРДС), инфекции легких (например, COVID-19) и рак легких. Процедура включает введение стерильного физиологического раствора в легкие с последующим его извлечением для получения образцов легочных клеток и секрета. Кроме того, она служит точным методом доставки стволовых клеток. Стволовые клетки активируют регенерацию легочной ткани в поврежденных областях, способствуют восстановлению и регенерации тканей, повышают активность интерстициальных клеток, увеличивают функциональные сосудистые сети и восстанавливают нормальный газообмен.
Преимущества бронхоальвеолярного лаважа:
1. Точечная доставка и целевое восстановление:
Стволовые клетки доставляются непосредственно в поврежденные участки легких через BAL, что значительно повышает точность и эффективность лечения.
2. Минимальная инвазивность и многофункциональные преимущества:
BAL обеспечивает минимальную травматичность, быстрый восстановительный период, точность и возможность повторного применения.
Перед проведением бронхоальвеолярного лаважа пациенты должны пройти полное консультирование и обследование для обеспечения безопасности и эффективности процедуры. Если у вас есть дополнительные вопросы о роли BAL в терапии стволовыми клетками или требуется дополнительная консультация, свяжитесь с нашей медицинской командой. Мы стремимся предоставить экспертные рекомендации и персонализированные планы лечения, соответствующие вашим потребностям.
Наша команда специалистов разработала технологию CT-направленных интраспинальных инъекций, специально предназначенную для терапии стволовыми клетками при лечении травм спинного мозга. Во время процедуры визуализация в реальном времени с помощью КТ создаёт динамическое 3D-изображение позвоночника, позволяя хирургам вращать и анализировать локализацию переломов в многомерном пространстве. Игла аккуратно продвигается по здоровому анатомическому пути, избегая костных препятствий. По мере того как хирург направляет иглу к спинному мозгу, система постоянно обновляет изображение, проверяя углы траектории и пространственные соотношения между спинным мозгом и позвонками, обеспечивая абсолютную точность и безопасность. Эта техника часто комбинируется с люмбальными пункциями или внутривенным введением стволовых клеток для повышения эффективности.
Преимущества CT-направленной инъекции в позвоночник:
1. Минимально инвазивная и безопасная
Без крупных разрезов. Проводится под местной анестезией с минимальной травматичностью, кровопотерей и послеоперационной болью, что обеспечивает быструю реабилитацию.
2. Субмиллиметровая точность
CT-навигация позволяет в реальном времени измерять и точно направлять иглу к месту поражения с непревзойдённой точностью.
CT-направленная инъекция в позвоночник предлагает революционное, безопасное и эффективное решение для пациентов с травмой спинного мозга, значительно улучшая клинические исходы и качество жизни. Если вы или ваш близкий сталкиваетесь с травмой спинного мозга, обратитесь к нашей специализированной медицинской команде сегодня. Вместе мы разработаем индивидуальный план лечения, чтобы возродить надежду и помочь вам вернуть независимость.
В мире традиционной китайской медицины (ТКМ) симптомы — это язык тела, а наши специалисты являются мудрыми его толкователями. Опираясь на тысячелетние знания, мы разрабатываем персонализированные методы терапии, которые сочетают эффективность с заботой, делая процесс исцеления не только результативным, но и человечным.
Когда шейный остеохондроз ограничивает ваши движения и приносит боль, наши специалисты по акупунктуре используют тончайшие иглы для разблокировки меридианов и точечного снятия боли. При хроническом гастрите фитотерапевты составляют индивидуальные рецептуры для согревания и гармонизации желудка, соединяя древнюю мудрость с современными потребностями в каждом ароматном отваре. Между тем массажисты применяют мягкие, направленные техники, чтобы снять мышечное напряжение и восстановить баланс организма.
ТКМ выходит за рамки лечения — её философия воплощает профилактику. С помощью конституционного анализа, рекомендаций по сезонному оздоровлению и программ с использованием моксы мы предотвращаем развитие нарушений ещё до того, как они закрепятся. Будь то акупунктура, лечебный массаж, банки или фитотерапия, наши специалисты сопровождают вас на пути, где традиция встречается с инновациями, а приоритетом становится целостное здоровье и гармония.
Как краеугольный камень традиционной китайской медицины (ТКМ), акупунктура имеет тысячелетнюю историю и сегодня признана во всем мире как авторитетная терапевтическая практика. Посредством стимуляции определённых акупунктурных точек это древнее искусство регулирует поток «Ци» (жизненной энергии) и крови, активирует врождённые целительные силы организма и эффективно устраняет различные заболевания, одновременно облегчая симптомы.
Клинически доказано, что акупунктура помогает при широком спектре заболеваний, включая хронические боли, шейный остеохондроз, грыжу поясничного межпозвоночного диска, мигрень, бессонницу и расстройства пищеварения. Во время процедуры лицензированные специалисты подбирают терапию в соответствии с индивидуальной конституцией и состоянием пациента, точно воздействуя на точки одноразовыми стерильными иглами, что гарантирует безопасность и комфорт. Современные исследования подтверждают способность акупунктуры стимулировать выработку эндорфинов, улучшать местное кровообращение и модулировать функцию нервной системы, оказывая выраженное противовоспалительное, обезболивающее и иммуномодулирующее действие.
Наша команда специалистов по акупунктуре сочетает богатый клинический опыт с традиционной теорией меридианов и современными медицинскими знаниями, разрабатывая индивидуальные схемы лечения. Независимо от того, идёт ли речь об острой боли или хроническом заболевании, акупунктура предлагает естественный, безопасный и эффективный путь к восстановлению гармонии тела и разума.
Укоренённый в двухтысячелетней традиции, терапевтический массаж в рамках традиционной китайской медицины (ТКМ) является целостной практикой, активирующей механизмы самовосстановления организма посредством умелого воздействия на меридианы, акупунктурные точки и мышечные группы. Регулируя поток «Ци» (жизненной энергии) и крови, он восстанавливает физическое равновесие. Наши специалисты гармонично сочетают принципы ТКМ с современными знаниями анатомии, применяя техники, в которых сила и мягкость уравновешены, чтобы точно воздействовать на проблемные зоны — устраняя боль, улучшая подвижность и восстанавливая функции.
Клиническая практика подтверждает эффективность массажа при таких состояниях, как шейный остеохондроз, поясничная грыжа межпозвоночного диска, «замороженное плечо» и другие. Приёмами разминания, надавливания, перекатывания и захвата снимается мышечное напряжение, улучшается кровообращение и уменьшается воспаление. Для пациентов с синдромом «субздоровья» массаж также способствует гармонизации работы внутренних органов, снятию усталости и укреплению иммунитета.
Каждая процедура строится по индивидуальному протоколу: интенсивность и методы подбираются в зависимости от конституции и симптоматики пациента, что обеспечивает одновременно безопасность и эффективность. Будь то лечение хронической боли или поддержание повседневного здоровья, терапевтический массаж ТКМ сочетает профессиональное мастерство и заботу, направленные на укрепление целостного благополучия организма.
Терапия катгут-имплантацией представляет собой инновационное сочетание традиционной акупунктуры и современной медицины. Путём введения рассасывающихся медицинских нитей (катгута) в определённые акупунктурные точки обеспечивается длительная стимуляция меридианов, что даёт пролонгированный терапевтический эффект. Метод особенно эффективен при хронических заболеваниях, в управлении болевым синдромом и в регуляции конституции организма, например, при хроническом гастрите, шейном остеохондрозе, ожирении и других состояниях.
Во время процедуры специалист ТКМ подбирает точные акупунктурные точки на основе вашей конституции и диагноза, вводя катгут под кожу. По мере его постепенного рассасывания обеспечивается непрерывная мягкая стимуляция, нормализующая поток Ци (жизненной энергии) и кровообращение, усиливающая способность организма к самовосстановлению. По сравнению с традиционной акупунктурой данный метод имеет более продолжительный эффект: одна процедура действует 2–4 недели, что снижает необходимость в частых визитах.
Безопасная, малоинвазивная и научно обоснованная, терапия катгут-имплантацией сочетает точность акупунктуры с долговременными регулирующими преимуществами, являясь оптимальным выбором для лечения хронических состояний. Наши лицензированные специалисты ТКМ разрабатывают персонализированные схемы лечения с высокой профессиональной компетенцией и внимательным отношением, помогая вам вернуть себе стойкое здоровье и жизненную энергию.
Терапия банками, ценное внешнее лечение в традиционной китайской медицине (ТКМ), использует отрицательное давление для стимуляции меридианов и акупунктурных точек, усиливая поток Ци (жизненной энергии) и кровообращение, что помогает устранить влагу, снять застой холода и расслабить мышцы и суставы. Наши специалисты ТКМ умело сочетают традиционное огненное вакуумное прижигание с современными вакуумными банками, применяя техники, такие как «движущиеся банки» (динамическое скольжение), «стационарные банки» (фиксированное размещение) или «мгновенные банки» (быстрое наложение и снятие), с учётом вашей конституции и состояния организма — обеспечивая одновременно эффективность и комфорт.
Банки — это не просто лечение, а целостное восстановление жизненной силы. Активируя механизмы самовосстановления организма, терапия помогает восстановить естественное равновесие. Пусть этот многовековой метод, усовершенствованный на протяжении тысячелетий, станет вашим надёжным союзником на пути к стойкому здоровью.
Моксибустия, ценное сокровище традиционной китайской медицины (ТКМ), использует мягкое тепло полыни (Artemisia argyi), чтобы проникать в акупунктурные точки и меридианы, гармонизируя Ци (жизненную энергию) и кровоток, одновременно пробуждая врожденный целебный потенциал организма. Наши специалисты ТКМ применяют эту двухтысячелетнюю терапию для лечения состояний, таких как застой холодной влаги, недостаточность селезёнки и желудка, ослабленный иммунитет и другие, обеспечивая точный и заботливый уход.
Прижигание моксой рядом с целевыми акупунктурными точками создаёт глубокое, успокаивающее тепло, которое устраняет внутренний холод, стимулирует кровообращение и снимает боль и усталость. Независимо от того, снимается ли скованность при хроническом артрите или регулируется менструальный цикл, связанный с холодом матки, эта терапия обеспечивает мягкое, но преобразующее облегчение.
Наши специалисты разрабатывают персонализированные протоколы, объединяя современные медицинские знания с принципами ТКМ, обеспечивая одновременно эффективность и комфорт. Во время процедуры земляной аромат полыни и её окутывающее тепло создают успокаивающий сенсорный опыт, способствуя глубокой релаксации тела и разума.
Фитотерапия традиционной китайской медицины (ТКМ) занимает центральное место в системе ТКМ, объединяя тысячелетнюю мудрость с современными технологиями для предоставления персонализированных и целостных решений в области здоровья. Наша команда специалистов по ТКМ в совершенстве владеет принципом «комплексная диагностика и индивидуальное лечение», применяя четыре метода диагностики — осмотр, прослушивание и обоняние, расспрос и пальпацию («смотреть, слушать, спрашивать и ощущать») — чтобы точно определить конституцию пациента и коренные причины заболевания, создавая индивидуальные схемы терапии.
Каждая травяная формула создаётся из природных растений, тщательно отобранных и научно скомбинированных для максимальной эффективности и безопасности. Независимо от того, идёт ли речь о лечении хронических заболеваний, укреплении иммунитета или устранении состояний субоптимального здоровья, травы ТКМ действуют мягко, восстанавливая равновесие организма. Мы используем современное оборудование для отваривания, чтобы сохранить суть лекарственных ингредиентов, а также предлагаем удобные для современного ритма жизни формы — гранулы, пилюли и другие препараты.
Помимо лечения заболеваний, фитотерапия ТКМ направлена на регулирование «Ци» (жизненной энергии) и крови, баланс «Инь» и «Ян», чтобы возродить вашу жизненную силу. Пусть дары природы, направляемые наукой, станут вашим партнёром на пути к долголетию и здоровью.